Hsv Esophagitis Pathology Outlines - Hsv Esophagitis Page 1 Line 17qq Com : In the early 20th century, bertram sippy 1 developed a bland diet of milk, cream, and pureed.

Hsv Esophagitis Pathology Outlines - Hsv Esophagitis Page 1 Line 17qq Com : In the early 20th century, bertram sippy 1 developed a bland diet of milk, cream, and pureed.. It can occur in immunocompromised patients as well as healthy individuals over a wide age range, including children and young adults. Herpes esophagitis is an inflammation of the esophagus due to herpes simplex virus. Endoscopic examination was performed du … It is usually secondary to a viral. Esophagitis caused by herpes simplex virus (hsv) is frequently documented during periods of immunosuppression in patients infected with human immunodeficiency virus (hiv).

Clinical characteristics and endoscopic features were retrospectively reviewed and categorized. Herpes simplex virus (hsv) is a common cause of infectious esophagitis. Hsv esophagitis is usually identified in patients with aids or other significant immunosuppressive conditions, although cases in healthy adults also occur. As an immunopathology analytical specialist in molecular pathology, jim's primary job functions included daily ihc quality control and managing the daily technical aspect of the clinical immunopathology operation. Herpes esophagitis is a viral infection of the esophagus.

Pathology Of The Esophagus
Pathology Of The Esophagus from image.slidesharecdn.com
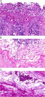
Histopathological features and serological testing were consistent with herpetic esophagitis. All three of the following are required for the diagnosis of gerd; There is apparently a word for heartburn in sumerian. Herpes simplex, varicella and herpes zoster infections show identical histology.clinical correlation or immunohistochemistry and/or viral culture or pcr (of an appropriate swab or tissue specimen) is required to differentiate these viral infections. Cytomegalovirus (cmv) esophagitis is treated differently from hiv esophagitis. He had no history of recurrent infections or history of sick contacts. Esophagitis caused by herpes simplex virus (hsv) is frequently documented during periods of immunosuppression in patients infected with human immunodeficiency virus (hiv). Cutaneous bullous disorders should be ruled out immunofluorescence is negative for c3 and ig

We reviewed 16 cases of hsv esophagitis diagnosed from january 1982 to march 2016.

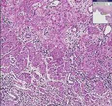
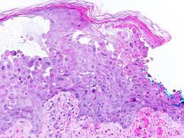
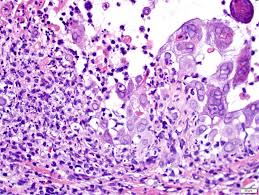
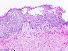
Changes in the gastroesophageal junction and distal esophagus secondary to reflux of gastric or duodenal contents into the esophagus; Esophagitis caused by herpes simplex virus (hsv) is frequently documented during periods of immunosuppression in patients infected with human immunodeficiency virus (hiv). The esophagus is a muscular tube that carries food and drink from your mouth to your stomach. Acute esophagitis is manifested here by increased neutrophils in the submucosa as well as neutrophils infiltrating into the squamous mucosa at the right. We reviewed 16 cases of hsv esophagitis diagnosed from january 1982 to march 2016. Hsv isolation from esophageal tissue (culture or polymerase chain reaction). The diagnosis of herpes simplex virus (hsv) esophagitis is made at endoscopy. Endoscopic examination was performed du … Elongated papillae >2/3 of the thickness of the mucosa The diagnosis of hsv and cmv esophagitis, and to develop a predictive model for differentiating cmv esophagitis from hsv esophagitis. The patients usually present with odynophagia, chest pain, malaise, and fever. Clinical characteristics and endoscopic features were retrospectively reviewed and categorized. Herpes simplex virus (hsv) is a common cause of infectious esophagitis.

The diagnosis of herpes simplex virus (hsv) esophagitis is made at endoscopy. The acute inflammation can be caused by infections, ingestion of irritative chemicals, drugs such as nsaids, chemotherapy, and radiation. The diagnosis of hsv and cmv esophagitis, and to develop a predictive model for differentiating cmv esophagitis from hsv esophagitis. Esophagitis caused by herpes simplex virus (hsv) is frequently documented during periods of immunosuppression in patients infected with human immunodeficiency virus (hiv). Concomitant herpetic and candidal esophagitis is a very rare disease that had not been reported in uremic patients.

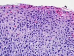
Lymphocytic Esophagitis Page 1 Line 17qq Com
Lymphocytic Esophagitis Page 1 Line 17qq Com from img.17qq.com
Esophagitis caused by herpes simplex virus (hsv) is frequently documented during periods of immunosuppression in patients infected with human immunodeficiency virus (hiv). Lymphocytic esophagitis is characterized by high numbers of intraepithelial lymphocytes (iels) gathered mainly around peripapillary fields and by none (n = 12) to occasional (n = 8) cd15+ intraepithelial granulocytes. The histology of herpes infections is very distinctive. The acute inflammation can be caused by infections, ingestion of irritative chemicals, drugs such as nsaids, chemotherapy, and radiation. His immunological work up showed normal level of immunoglobulins and his white blood cells subpopulations were normal. We reviewed 16 cases of hsv esophagitis diagnosed from january 1982 to march 2016. The low power pattern of a typical lesion. Hsv esophagitis is usually identified in patients with aids or other significant immunosuppressive conditions, although cases in healthy adults also occur.

Webpathology is a free educational resource with 11065 high quality pathology images of benign and malignant neoplasms and related entities.

Hsv esophagitis is usually identified in patients with aids or other significant immunosuppressive conditions, although cases in healthy adults also occur. He had no history of recurrent infections or history of sick contacts. This condition can also occur as a primary infection in individuals taking immunosuppressive drugs and it is therefore considered as an opportunistic disease [ 1 Forms of esophagitis have been recognized for millennia; His immunological work up showed normal level of immunoglobulins and his white blood cells subpopulations were normal. His hsv serology was positive. We reviewed 16 cases of hsv esophagitis diagnosed from january 1982 to march 2016. Acute esophagitis is manifested here by increased neutrophils in the submucosa as well as neutrophils infiltrating into the squamous mucosa at the right. We reviewed 16 cases of hsv esophagitis diagnosed from january 1982 to march 2016. The aim of this retrospective study is to identify comorbid and predisposing conditions and sequelae of hsv esophagitis in immunocompetent children. Elongated papillae >2/3 of the thickness of the mucosa #2 most common cause of infectious esophagitis after candida self limited in healthy patients; Herpes esophagitis is caused by hsv type 1.

The differential diagnosis in a patient with a swallowing disorder or other problem with food intake includes both local and systemic problems. Lymphocytic esophagitis is characterized by high numbers of intraepithelial lymphocytes (iels) gathered mainly around peripapillary fields and by none (n = 12) to occasional (n = 8) cd15+ intraepithelial granulocytes. Webpathology is a free educational resource with 11065 high quality pathology images of benign and malignant neoplasms and related entities. The diagnosis of hsv and cmv esophagitis, and to develop a predictive model for differentiating cmv esophagitis from hsv esophagitis. A novel histologic phenotype of chronic esophagitis, ie, lymphocytic esophagitis, is reported in 20 patients.

Pathology Outlines Katarinajaneckova Com
Pathology Outlines Katarinajaneckova Com from katarinajaneckova.com
The aim of this retrospective study is to identify comorbid and predisposing conditions and sequelae of hsv esophagitis in immunocompetent children. #2 most common cause of infectious esophagitis after candida self limited in healthy patients; The differential diagnosis in a patient with a swallowing disorder or other problem with food intake includes both local and systemic problems. Concomitant herpetic and candidal esophagitis is a very rare disease that had not been reported in uremic patients. We reviewed 16 cases of hsv esophagitis diagnosed from january 1982 to march 2016. All three of the following are required for the diagnosis of gerd; The esophagus is a muscular tube that carries food and drink from your mouth to your stomach. Acute esophagitis is manifested here by increased neutrophils in the submucosa as well as neutrophils infiltrating into the squamous mucosa at the right.

Cytomegalovirus (cmv) esophagitis is treated differently from hiv esophagitis.

His immunological work up showed normal level of immunoglobulins and his white blood cells subpopulations were normal. As an immunopathology analytical specialist in molecular pathology, jim's primary job functions included daily ihc quality control and managing the daily technical aspect of the clinical immunopathology operation. In a child with esophagoscopy showing erythema with or without ulceration and esophageal biopsy revealing inflammation, hsv etiology was established based on the presence of one or more of the following criteria: The histology of herpes infections is very distinctive. Hsv esophagitis is usually identified in patients with aids or other significant immunosuppressive conditions, although cases in healthy adults also occur. Original posting / last update: The differential diagnosis in a patient with a swallowing disorder or other problem with food intake includes both local and systemic problems. #2 most common cause of infectious esophagitis after candida self limited in healthy patients; Clinical characteristics and endoscopic features were retrospectively reviewed and categorized. Esophagitis caused by herpes simplex virus (hsv) is frequently documented during periods of immunosuppression in patients infected with human immunodeficiency virus (hiv). The esophagus is a muscular tube that carries food and drink from your mouth to your stomach. He had no history of recurrent infections or history of sick contacts. Graman, in mandell, douglas, and bennett's principles and practice of infectious diseases (eighth edition), 2015 herpes simplex virus esophagitis.

Webpathology is a free educational resource with 11065 high quality pathology images of benign and malignant neoplasms and related entities hsv esophagitis. Herpes simplex virus (hsv) is a common cause of infectious esophagitis.

Komentar